画像診断支援AI「EIRL(エイル)」を導入しました
当院では、患者さまにより安心して検査を受けていただけるよう、エルピクセル株式会社が開発した医療画像診断支援AI「EIRL(エイル)」を導入いたしました。EIRL(エイル)は、胸部X線(レントゲン)などの医療画像をAI(人工知能)が解析し、医師の診断をサポートする技術です。厚生労働省の承認を受けた医療機器(プログラム医療機器)です。
胸部レントゲン撮影で活用しています
当院では、主に胸部X線検査(胸部レントゲン)において、EIRLを活用しています。
撮影した胸部X線画像をAIが自動的に解析し、肺の結節影(しこりのような影)など、注意が必要な所見の候補をマークして医師に提示します。医師はAIの解析結果も参考にしながら、最終的な診断を行います。
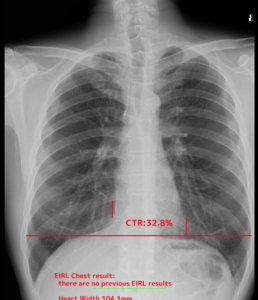
その他心胸比という心臓の大きさを自動で計測してくれて、心不全の管理に役立ちます。
つまり、医師の目とAIの目の「ダブルチェック」が行われることになります。
実際に健診でうけてみました
実際に自分も健診で受けてみました。

結節影はありませんでした。心胸比32.8%とでています。
最後に
AIが補助することで費用が増えることはありません。健診でも保険診療でも当院はこのレントゲンを使用します。
AIはあくまで医師の診断を支援するツールです。AIの解析結果を踏まえた上で、医師とAIが協力することで、より精度の高い診断を目指しています。

